犬の心臓病について
早期発見とケアの大切さ
ーはじめに
犬も人間と同じように、心臓の病気にかかることがあります。
特に高齢になると発症リスクが高まり、気づかないうちに進行してしまうことも少なくありません。
このページでは、犬の心臓病について分かりやすくご説明します。
「最近、咳が増えたかも…」「なんだか元気がないな」と感じたら、ぜひ一度ご相談ください。

犬の心臓病ってどんな病気?
心臓病とは、心臓の構造や機能に異常が起こり、血液を十分に送り出せなくなる病気です
主に以下の2つに分けられます。
先天性心疾患:生まれつき心臓に異常がある
動脈管開存症(PDA)、心室中隔欠損症(VSD)、心房中隔欠損症(ASD)、肺動脈狭窄症、大動脈弁狭窄症、三尖弁異常、ファロー四徴症 など
後天性心疾患:加齢や他の病気によって発症する
僧帽弁閉鎖不全症、拡張型心筋症(DCM)、三尖弁閉鎖不全症、心膜炎、心タンポナーデ、不整脈(心房細動、心室性期外収縮など)、犬糸状虫症(フィラリア症) など
中でも犬で多く見られるのは以下の疾患です。
僧帽弁閉鎖不全症(そうぼうべんへいさふぜんしょう)
→ 小型犬に多く、高齢になると発症率が上がります。
拡張型心筋症
→ 大型犬でよく見られ、心臓の筋肉が弱くなってしまう病気です。

こんな症状ありませんか?
心臓病の初期症状は、とてもささいな変化から始まります
- 咳が出る(特に寝起きや夜間、運動時)
- 息が荒く、呼吸が早くなる
- 散歩途中で座り込む、散歩を嫌がる、すぐに疲れる
- 食欲が落ちた、元気がない、寝ている時間が長くなる
- 舌や歯茎の色が紫っぽい
- 失神する(興奮したときに突然バタッと倒れる)
- お腹がふくらむ(腹水)
1つでも当てはまる症状があれば、早めの診察をおすすめします
なりやすい犬種は?
| 小型犬で多い病気 (僧帽弁閉鎖不全症) | キャバリア・キング・チャールズ・スパニエル、チワワ、トイプードル、マルチーズ、 ポメラニアン など |
|---|---|
| 大型犬で多い病気 (拡張型心筋症) | ドーベルマン、グレートデーン、ボクサー、アイリッシュ・ウルフハウンド など |
※もちろん、どの犬種でも発症する可能性はあります。
検査方法
当院では、以下の検査を通して心臓の状態を詳しく診断します
聴診(心臓や肺の異常音の有無)
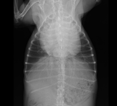
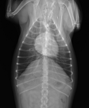
胸部X線検査(心臓の大きさや肺の状態の評価)
■心臓レントゲン 異常

■心臓レントゲン 正常

■心臓レントゲン 異常

■心臓レントゲン 正常

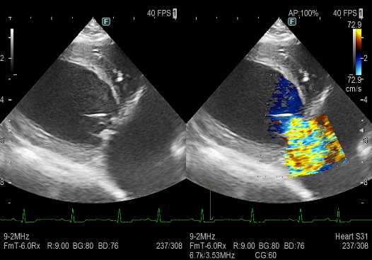
心臓超音波検査(心臓の大きさや弁、血管の異常の有無の評価)


心電図検査(不整脈の有無)

血液検査(心臓に負担がかかっているかを数値で確認)
ご家族と相談しながら、必要な検査を無理なく進めます
治療と生活管理
心臓病は完治が難しい病気ですが、早期に発見し、適切な治療と生活管理を行えば、快適な生活を長く続けることができます。
主な治療内容
内科治療
- 内服薬(病状の進行具合によって組み合わせます)
強心剤(ピモベンダン)
血管拡張剤(ACE阻害剤)
利尿薬(フロセミド、トラセミド、スピロノラクトン)
など - 食餌の見直し(心臓病用フードに変更)
- 安静を保つ生活(無理な運動、炎天下の散歩は避ける)
- 定期的な通院と経過観察
外科療法
- 僧帽弁修復術
循環器専門病院との連携しており、必要に応じてご紹介させて頂きます。
よくあるご質問
-
何も症状無いのに何回も検査をする必要はありますか?
-
定期的な検査をお勧めします。病態悪化の早期発見がとても重要な病気だからです。
僧帽弁閉鎖不全症は、無症状でも心臓の構造に変化が起こっている場合があります。
定期的に検査を行い、心臓の大きさや逆流の程度を確認しておくことで、心臓の状態を把握し、将来的な悪化を予測することができます。
その結果、最も適切なタイミングで治療(お薬)を始めることが可能になります。
-
僧帽弁閉鎖不全症は飲み薬で治りますか?
-
僧帽弁閉鎖不全症は「薬で治る」病気ではありません。
ですが、薬で進行を抑え、元気な時間を長く保つことができます。
定期的な検査で心臓の状態を確認し、適切な時期に治療を始めることが大切です。
-
一度心臓病になったら、ずっと薬を飲まないといけませんか?
-
多くの場合、生涯飲み続ける必要があります。
進行を遅らせることや、咳などの症状をコントロールすることが目的になります。
定期的に検査を行うことで、薬の種類や量を調整していきます。
-
家でできるケアや注意することはありますか?
-
過度に興奮させず安静に過ごすこと、部屋は涼しくする。
適切な体重管理、食事内容の調整などで心臓への負担を軽くできます。
安静時(寝ている時)の呼吸数(息を吸って吐いてで一回)の測定。
→ 肺に水が溜まっている(肺水腫)の時には呼吸が早くなります。
-
緊急受診が必要な症状は?
-
以下のような症状が見られたら、すぐに受診するようにしてください。
・呼吸困難(首を伸ばすように呼吸する、長時間の開口呼吸、舌の色が紫など)
・意識がもうろうとする、失神
・咳が止まらない
・食欲不振が続く、元気がない
